Casos de Éxito

Descubre las increíbles transformaciones de nuestros pacientes. Cada sonrisa cuenta una historia de confianza renovada y sueños cumplidos.

500+Sonrisas Transformadas
30+Años de Experiencia
98%Satisfacción del Paciente
30+Países Atendidos

Transformaciones Reales

Cada caso es único, cada resultado es extraordinario. Conoce las historias de nuestros pacientes.

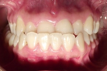
Antes - Estela
Antes
Después - Estela
Después

Estela - Brackets tradicionales

Corrección completa de apiñamiento dental y mejora de la mordida. Resultado espectacular que cambió su confianza al sonreír.

18 meses
Brackets tradicionales
Antes - Lucía
Antes
Después - Lucía
Después

Lucía - Brackets Damon Clear

Alineación perfecta con brackets estéticos transparentes. Tratamiento discreto que le permitió mantener su vida social sin limitaciones.

12 meses
Brackets Damon Clear
Antes - Margarita
Antes
Después - Margarita
Después

Margarita - Brackets Damon Clear

Cerramos completamente los espacios de los dientes de enfrente, transformando su sonrisa radicalmente y elevando la autoestima.

12 meses
Brackets Damon Clear
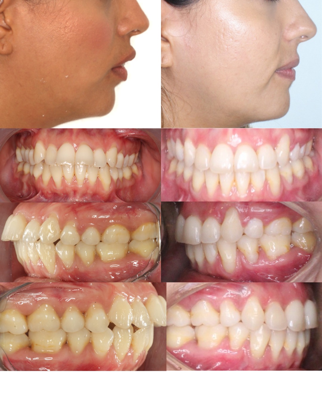
Antes - Williams
Antes
Después - Williams
Después

Williams - Brackets tradicionales

Corregimos su alineación dental y sobre todo le entregamos una hermosa sonrisa al final. Tratamiento completo con excelentes resultados.

16 meses
Brackets tradicionales
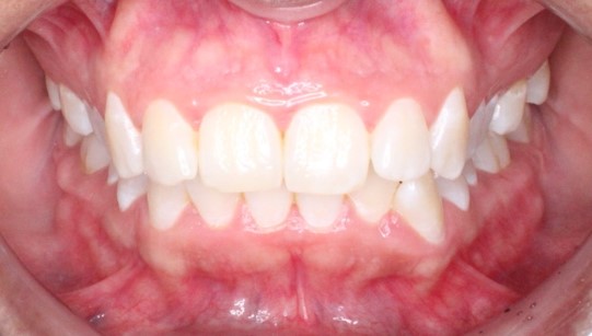
Antes - Tania
Antes
Después - Tania
Después

Tania - Brackets Damon

Tratamiento ortodóntico integral para corregir apiñamiento severo. Mejora notable en función masticatoria y estética facial con excelentes resultados.

12 meses
Brackets Damon
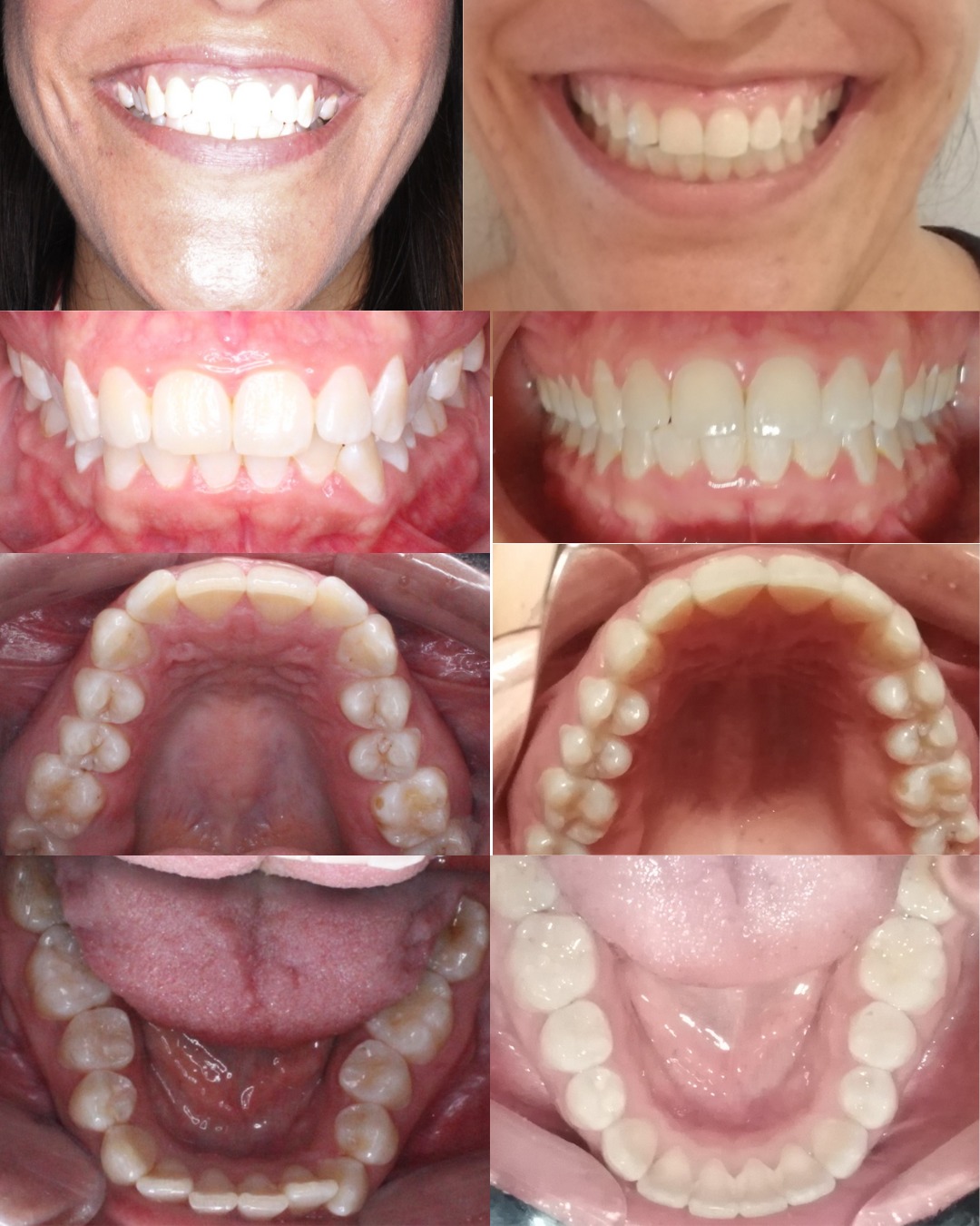
Antes - Marzia
Antes
Después - Marzia
Después

Marzia - Brackets Damon

Corrección completa de la alineación y mordida. Sonrisa radiante y natural que superó todas sus expectativas.

16 meses
Brackets Damon
Antes - David
Antes
Después - David
Después

David - Invisalign + Implante + Corona de alta estética

Presentaba ausencia de 1 diente, línea media desviada a la derecha y apiñamiento severo y muy mala mordida. El resultado final fue todo un éxito.

20 meses
Invisalign + Implante + Corona

Más Transformaciones

Galería de nuestros casos de éxito más destacados

¿Listo para Tu Transformación?

Únete a cientos de pacientes satisfechos que han transformado sus sonrisas con nosotros.